Dentist Heber City, UT
$150 New Patient Special
Includes Full Exam, X-rays, and regular cleaning (some limitations apply)
Request AppointmentAt TimberRidge Dental, our native Heber City dentist proudly serves Heber, Midway, Park City, Kamas, and the surrounding communities.
Schedule an Appointment
TimberRidge Dental, home of the #1 Heber City Dentist, is conveniently located in Heber City on Historic Main Street. TimberRidge Dental combines the latest advancements in dental technology with a kind, warm, and welcoming atmosphere. We recognize that all of our patients are unique and deserve to receive dental care that reflects their individual needs. Dr. May is a Heber City dentist for the whole family.
Dr. Tyler May prides himself on spending ample time with every patient to ensure that all their questions are answered and a positive relationship is established. As a valued member of our dental office, you will never be treated as “just another patient”. You are unique, your smile is unique, and your dental care should be unique too!
Procedures we offer include dental implants, root canals, veneers, tooth-colored fillings, extractions, crowns, teeth whitening, and dentures. For a Heber City dentist you can trust, visit TimerRidge Dental in downtown Heber!
Dr. Tyler May understands that going to the dentist can be accompanied by a little bit of anxiety. This is because he vividly recalls his fear of going to the dentist himself. It wasn’t until he had graduated from Wasatch High that he decided to pursue a career in dentistry. “Because of the fear I had, I am always trying to make sure the patient is comfortable and possibly enjoying themselves”.
Get to Know Dr. May
Dr. Mark Bowles joined our practice in the fall of 2021 and has proven to be a valuable member of our team. He recently moved to Heber City to enjoy the peaceful life that is found here in the valley. Prior to living in Heber City he owned a dental office in California and has 28 years of experience. He is very detail-oriented and loves to educate his patients and give them the best care possible.
Get to Know Dr. BowlesOur experienced and talented dental team is committed to working with you and your family to create a comfortable, stress-free, experience every time you visit our Heber City dentist office.
"TimberRidge Dental was friendly, fast, & went above & beyond to make sure I was comfortable. Office space was new, and clean. Great all around."
"Dr. May has been my dentist for over 4 years and he never disappoints. The staff is always so friendly and caring. Could not recommend another dentist office more!!"
"We just moved up here and needed to find a new dentist. I just had my first appointment today and was blown away! All of the staff were so kind and knowledgeable and made sure to communicate well and address all of my needs/questions. I’ve been to a few dentists and this was the best experience! Highly recommend."
"Always a good time. Good communication and done with care."
"Love this dental office! Everyone is so helpful and friendly, from the staff in the front to the dentists and hygienists. They took care of me quickly and did a fantastic job. The best part is they show you up front what your insurance will pay and what your cost will be. Very reasonable. The receptionists are very knowledgeable and helpful and work with you on scheduling your best possible time. Definitely recommend."
"Dr. May saw me today on an emergency visit and I totally appreciate them working me in. The office is very safe, I love that masks and hand washing are required. The office staff are all super friendly and helpful. Dr. May presented all my options to me and a plan was derived from that. They even estimate on paper the approximate cost of my procedure. But what really sold me is that Dr. May came to work with the glitter nail polish his little daughter applied apparently with super glue. That’s a real Dad! Thank you all, I was super impressed and would not hesitate to refer to this practice!"
Our office accepts most dental insurance plans. Please call our office or your insurance carrier to find out. No insurance? No worries, we offer an in-house membership for as low as $24 a month.
Find My Dental Insurance View Memberships













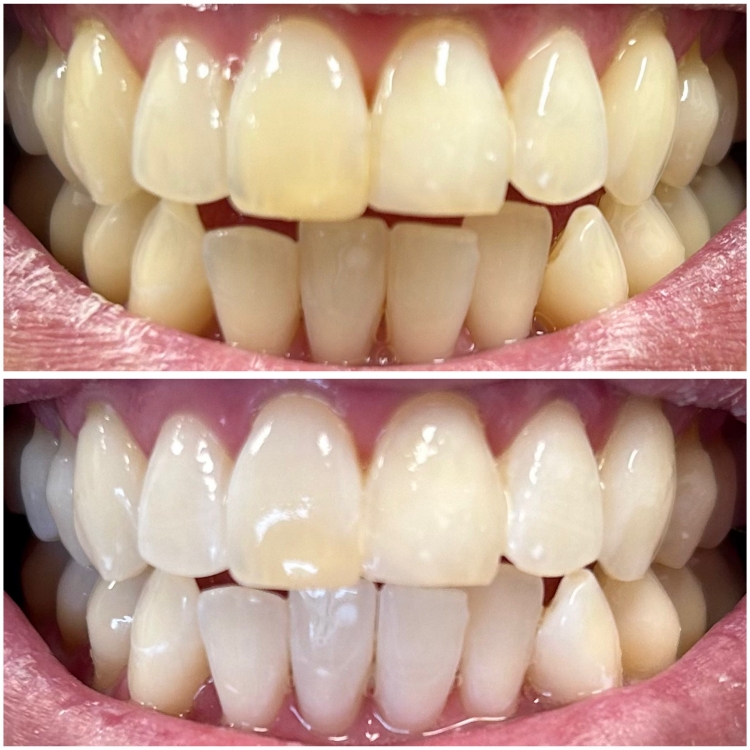
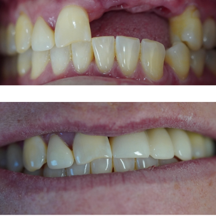
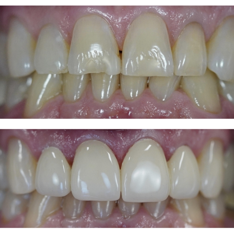
See our work in action with these before and after photos!
To discuss the results you can expect to see, schedule an appointment with our Heber City dental office by calling (435) 654-2020.
A dental emergency can take many different forms, such as pain in the tooth that won’t go away or a tooth that gets broken or knocked out of the mouth in an accident. The doctors at emergency rooms often lack the means to properly treat these types of issues, which is why the most reliable way to get emergency dental care is to call your dentist.
When you call us for an urgent dental issue, we’ll give you first-aid tips over the phone and make an effort to see you as soon as we can. Oftentimes, we’ll be able to schedule an appointment for you on the same day that you call our office.
Bear in mind, though, that if you have a fractured jaw, oral bleeding that doesn’t stop, or swelling that interferes with breathing, you should call 911. That’s because these types of emergencies can easily put your life in immediate danger.
Narrowing down the right place to have dental work performed may seem like a daunting task, but it can help to make a list of what things matter the most to you. Most patients want a practice that will accept their dental insurance, is located nearby, and has services that can address their specific oral health needs. Figure out what you’re looking for, then search for a dental practice that has those key traits.
If you take the time to explore a dental office’s website, you can learn about their approach to care as well as the credentials of the dentists. On top of that, you can check their Google page to read some of their reviews in order to get a clearer picture of what other patients think of them.
Routine dental checkups and cleanings give your dentist a chance to evaluate the current state of your oral health and deal with any issues that might be developing. These visits often cost between $200 and $350 in the United States. The specific amount that you end up paying may be affected by the location of the practice and other factors. The coverage offered by your dental insurance plan will also need to be taken into account.
It’s normal to be concerned about the cost of dental care, but rest assured there are ways to make the treatments you need more affordable. If you have dental insurance, our team can confirm your benefits and help you find ways to maximize them; we also offer an in-house membership plan that allows our patients to take advantage of discounts on all of our services. And if you can’t pay the full cost of your care all at once, you can break it up into installments with financing through CareCredit, Prosper Program, or LendingClub.